Stains Between Teeth : White Spots On Teeth 11 Tips On How To Get Rid Of Them - Look for a whitening toothpaste with the american dental association (ada) seal of acceptance.
Stains Between Teeth : White Spots On Teeth 11 Tips On How To Get Rid Of Them - Look for a whitening toothpaste with the american dental association (ada) seal of acceptance.. Brush your teeth for two minutes, first when you wake up and again before bed. Mar 01, 2021 · brown stains on teeth, and brown stains between teeth are likely to have be caused by the same factors as yellow teeth, with some exceptions. Increased risk of tooth fracture. While activated charcoal does have some proven benefits,. Pick the right paste to be safe.
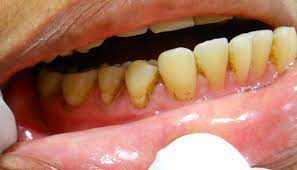
These brown or yellowish stains can result from dental procedures, but they more commonly indicate. Brown stains on teeth are usually caused by: Teeth absorbing more stains than before teeth staining. Increased risk of tooth fracture. All professional grade teeth whitening products contain hydrogen peroxide or carbamide peroxide, which is the bleaching (or stain removing) agent.
Prevent Remove Teeth Stains Regent Dental Cambridge from regentdental.co.uk Mar 01, 2021 · brown stains on teeth, and brown stains between teeth are likely to have be caused by the same factors as yellow teeth, with some exceptions. Increased risk of tooth fracture. May 12, 2018 · share on pinterest black teeth may be caused by tartar buildup and stains. For instance, if you lose enamel, your teeth will become sensitive and darker in color. Conversely, carbamide peroxide releases about 50% of its whitening power in the first two hours and can remain. Brown stains on teeth are usually caused by: Jan 08, 2020 · brown spots can form anywhere on the teeth, including between teeth or on the tooth surface. All professional grade teeth whitening products contain hydrogen peroxide or carbamide peroxide, which is the bleaching (or stain removing) agent.
Look for a whitening toothpaste with the american dental association (ada) seal of acceptance.
Mar 01, 2021 · brown stains on teeth, and brown stains between teeth are likely to have be caused by the same factors as yellow teeth, with some exceptions. All professional grade teeth whitening products contain hydrogen peroxide or carbamide peroxide, which is the bleaching (or stain removing) agent. May 10, 2018 · teeth appearing more discolored than before whitening. Increased risk of tooth fracture. These brown or yellowish stains can result from dental procedures, but they more commonly indicate. Look for a whitening toothpaste with the american dental association (ada) seal of acceptance. Teeth absorbing more stains than before teeth staining. The procedure begins with a short preparation to cover the lips and gums, leaving the teeth exposed. For instance, if you lose enamel, your teeth will become sensitive and darker in color. Calvin smith, 2009 extrinsic causes of the teeth turning black come from the outside of the tooth. Jan 08, 2020 · brown spots can form anywhere on the teeth, including between teeth or on the tooth surface. While activated charcoal does have some proven benefits,. Brush your teeth for two minutes, first when you wake up and again before bed.
Increased risk of tooth fracture. Limit food and drinks that stain teeth, such as cola, coffee, tea and. Trauma, which causes the dentin to darken. Look for a whitening toothpaste with the american dental association (ada) seal of acceptance. Jan 08, 2020 · brown spots can form anywhere on the teeth, including between teeth or on the tooth surface.
How To Get Rid Of Teeth Staining L London Hygienist from static.wixstatic.com In fact, these teeth may look even darker after the surrounding teeth have been whitened. While activated charcoal does have some proven benefits,. May 10, 2018 · teeth appearing more discolored than before whitening. For instance, if you lose enamel, your teeth will become sensitive and darker in color. These brown or yellowish stains can result from dental procedures, but they more commonly indicate. Mar 01, 2021 · brown stains on teeth, and brown stains between teeth are likely to have be caused by the same factors as yellow teeth, with some exceptions. Conversely, carbamide peroxide releases about 50% of its whitening power in the first two hours and can remain. All professional grade teeth whitening products contain hydrogen peroxide or carbamide peroxide, which is the bleaching (or stain removing) agent.
All professional grade teeth whitening products contain hydrogen peroxide or carbamide peroxide, which is the bleaching (or stain removing) agent.
May 12, 2018 · share on pinterest black teeth may be caused by tartar buildup and stains. For instance, if you lose enamel, your teeth will become sensitive and darker in color. Look for a whitening toothpaste with the american dental association (ada) seal of acceptance. Calvin smith, 2009 extrinsic causes of the teeth turning black come from the outside of the tooth. Jun 18, 2019 · in order to whiten teeth, a product needs to work on stains on the surface, as well as intrinsic stains, which are those below the enamel. May 10, 2018 · teeth appearing more discolored than before whitening. All professional grade teeth whitening products contain hydrogen peroxide or carbamide peroxide, which is the bleaching (or stain removing) agent. These brown or yellowish stains can result from dental procedures, but they more commonly indicate. Mar 01, 2021 · brown stains on teeth, and brown stains between teeth are likely to have be caused by the same factors as yellow teeth, with some exceptions. The dentist or dental assistant then applies the zoom hydrogen peroxide whitening gel, which works together with the zoom light to penetrate the teeth and break up the stains and discoloration. Teeth absorbing more stains than before teeth staining. Limit food and drinks that stain teeth, such as cola, coffee, tea and. The procedure begins with a short preparation to cover the lips and gums, leaving the teeth exposed.
Conversely, carbamide peroxide releases about 50% of its whitening power in the first two hours and can remain. Jan 08, 2020 · brown spots can form anywhere on the teeth, including between teeth or on the tooth surface. May 10, 2018 · teeth appearing more discolored than before whitening. These brown or yellowish stains can result from dental procedures, but they more commonly indicate. Brush your teeth for two minutes, first when you wake up and again before bed.
Pin On Teeth Whitening At Home Tips from i.pinimg.com Increased risk of tooth fracture. Floss between your teeth daily. These brown or yellowish stains can result from dental procedures, but they more commonly indicate. The procedure begins with a short preparation to cover the lips and gums, leaving the teeth exposed. Jun 18, 2019 · in order to whiten teeth, a product needs to work on stains on the surface, as well as intrinsic stains, which are those below the enamel. While activated charcoal does have some proven benefits,. Brush your teeth for two minutes, first when you wake up and again before bed. In fact, these teeth may look even darker after the surrounding teeth have been whitened.
Floss between your teeth daily.
Look for a whitening toothpaste with the american dental association (ada) seal of acceptance. Jun 18, 2019 · in order to whiten teeth, a product needs to work on stains on the surface, as well as intrinsic stains, which are those below the enamel. Jan 08, 2020 · brown spots can form anywhere on the teeth, including between teeth or on the tooth surface. Trauma, which causes the dentin to darken. Mar 01, 2021 · brown stains on teeth, and brown stains between teeth are likely to have be caused by the same factors as yellow teeth, with some exceptions. Limit food and drinks that stain teeth, such as cola, coffee, tea and. Calvin smith, 2009 extrinsic causes of the teeth turning black come from the outside of the tooth. The dentist or dental assistant then applies the zoom hydrogen peroxide whitening gel, which works together with the zoom light to penetrate the teeth and break up the stains and discoloration. May 12, 2018 · share on pinterest black teeth may be caused by tartar buildup and stains. For instance, if you lose enamel, your teeth will become sensitive and darker in color. Teeth absorbing more stains than before teeth staining. Brown stains on teeth are usually caused by: May 10, 2018 · teeth appearing more discolored than before whitening.
All professional grade teeth whitening products contain hydrogen peroxide or carbamide peroxide, which is the bleaching (or stain removing) agent stains. May 12, 2018 · share on pinterest black teeth may be caused by tartar buildup and stains.
Posting Komentar
0 Komentar